引 言
1Cr18Ni9Ti不銹鋼是工業上使用最廣泛的材料之一,用鎳基釬料釬焊不銹鋼,在釬縫中形成的化合物相對釬縫性能有很大的影響。1978年,R.Johson[1]用電子探針對利用BNi-2和BNi-4釬焊9Cr-1Mo鋼的釬縫組織進行了相分析。由于電子探針對硼元素只能進行半定量分析,測得的數據精度低,難以確定硼化合物相。本文采用金相分析和電子探針分析并配合X射線衍射物相分析對釬縫的相組成和釬縫中化合物相的消除規律進行研究。
1 試驗材料和試驗方法
母材選用1Cr18Ni9Ti,釬料的化學組成列于表1.
表1 試驗用釬料的化學組成

(a) (b) (c)
圖1 用BNi-1a釬料釬焊的釬縫組織
2.2 BNi2釬料
用BNi2釬料對1Cr18Ni9Ti進行釬焊,當縫寬為0.02 mm、釬焊溫度為1 050 ℃、釬焊10 min時,釬縫組織是純固溶體。 當縫寬為0.05 mm時,釬縫中出現化合物相。X射線衍射分析表明,釬縫組織由α-Ni,Ni5Si2,Cr2B,Ni2B和Fe4.5Ni18.5B6組成。該釬縫焊后經1 000 ℃擴散處理1 h得到單一的固溶體組織。當縫寬為0.10 mm時,焊后釬縫經1 000 ℃擴散處理8 h得到單一的固溶體組織。
采用釬焊溫度為1 120 ℃、釬焊時間為10 min的釬焊工藝,用BNi2釬料來釬焊1Cr18Ni9Ti,釬縫的組織特征隨寬度及焊后熱處理時間的變化規律與用BNi1a釬料釬焊的釬縫組織特征相同。值得注意的是,用1 050 ℃的溫度釬焊時,釬縫中沒有出現CrB化合物相,釬縫中的所有化合物相都能通過焊后擴散處理消除掉。CrB化合物相是由于釬焊溫度高而產生的,且不易通過焊后擴散處理來消除。#p#分頁標題#e#
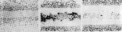
2.3 BNi5釬料
用BNi5釬料對1Cr18Ni9Ti進行釬焊,當縫寬為0.02 mm、釬焊溫度為1 175 ℃、釬焊時間為10 min時,釬縫組織是純固溶體,見圖2(a);當縫寬為0.05 mm時,釬縫中出現化合物相,見圖2(b).BNi5釬料中形成化合物相的元素是硅。由于硅的原子半徑比硼的原子半徑大,其擴散系數比硼小,盡管使用的釬焊溫度(1 175 ℃)比較高,也只有在縫寬很小時(0.02 mm)才能在焊后得到單一的固溶體組織。對于0.05 mm寬的釬縫,焊后釬縫中出現大量的化合物相,其相組成為α-Ni,Ni5Si2和Ni16Cr6Si7.在溫度為1 000 ℃擴散處理8 h后,釬縫中的絕大部分化合物相被消除,但還有極少量的化合物相未能在本試驗的釬焊工藝下消除,見圖2(c).
2.4 BNi7釬料
圖3是用BNi7釬料釬焊1Cr18Ni9Ti的釬縫組織,釬焊溫度為1 050 ℃,釬焊時間為10 min.釬焊試驗表明,要使該釬縫組織成為單一的固溶體組織相當困難。在縫寬為0.01 mm時,焊后釬縫中仍然有化合物相,見圖3(a).圖3(b)是縫寬為0.05 mm的釬縫組織,X射線衍射測得其相組成為α-Ni,Ni2P和(Fe,Ni)3P.焊后經1 000 ℃擴散處理8 h后,釬縫中仍有較多的化合物相,見圖3(c).

(a) (b) (c)
圖2 用BNi5釬料釬焊的釬縫組織

(a) (b) (c)
圖3 用BNi7釬料釬焊的釬縫組織
3 結 論
(1)在釬焊溫度為1 120 ℃ 、釬焊時間為10 min的釬焊規范下,用BNi1a釬料釬焊的釬縫組織在縫寬小于0.05 mm時為單一的鎳固溶體,縫寬大于0.05 mm時可能出現化合物相。其中CrB比較穩定,在焊后的擴散處理過程中難以消除。
(2)在1 050 ℃釬焊溫度下,用BNi2釬料釬焊1Cr18Ni9Ti,釬縫中沒有出現CrB化合物相,釬縫中的化合物相都能通過焊后擴散處理消除掉。
(3)用BNi5釬料釬焊(1 175 ℃,10 min)1Cr18Ni9Ti,當縫寬為0.02 mm時,釬縫組織是純固溶體。當縫寬為0.05 mm時,釬縫出現大量化合物相。擴散處理后,釬縫中的絕大部分化合物相被消除。
(4)用BNi7釬料釬焊(1 050 ℃,10 min)1Cr18Ni9Ti,難以使釬縫組織成為單一的固溶體組織。在縫寬為0.01 mm時,焊后釬縫中仍然有化合物相。
相關文章
- 2021-08-11中文版 AutoCAD Mechanical 2005 機械制圖基礎教程PDF
- 2021-07-31Autodesk EcotectAnalysis2011綠色建筑分析應用全彩 [
- 2021-07-16AutoCAD Mechanical機械設計從入門到精通_劉娜,李波編
- 2021-07-15AutoCAD mechanical 2000i快速入門PDF下載
- 2021-07-11超好學!AutoCAD輔助繪圖 [全圖解百分百]PDF下載
- 2021-06-24AutoCAD 2011 for Dummies PDF下載
- 2021-06-11AutoCAD工程制圖及案例分析PDF下載
- 2021-06-06AutoCAD機械制圖技巧及難點分析PDF下載
- 2021-05-29Autodesk Ecotect Analysis綠色建筑分析應用(全彩)2011
- 2020-12-28AutoCAD 2008 3D Modeling workbook for Dummies PDF